"셀프로 안 되던 미백, 치과에서는 왜 가능할까? 1분 만에 확인하세요."
-
- 첨부파일 : image.png (767.9K) - 다운로드
-
30회 연결
-
- 관련링크 : https://naver.me/513NvTWs44회 연결
본문
[닥터한 칼럼] 치아 미백, 셀프 제품만으로는 한계가 있는 이유
"셀프로 안 되던 미백, 치과에서는 왜 가능할까? 1분 만에 확인하세요."
많은 분이 셀프 미백 제품(패치, 치약)을 사용하지만 효과가 미미한 이유는 낮은 약제 농도와 치석 방치 때문입니다.
보철과 전문의가 그 차이를 명확히 짚어드립니다.
1. 셀프 미백, 왜 효과가 약할까?
낮은 성분 농도: 시판 제품은 안전상의 이유로 농도가 매우 낮아 깊은 변색 해결이 어렵습니다.
치석의 방해: 치아 표면의 치석을 제거하지 않으면 미백제가 침투하지 못해 효과가 반감됩니다.
부작용 위험: 본인의 치아 상태(마모, 충치)를 모르고 사용할 경우 극심한 시림을 유발합니다.
2. 치과 전문가 미백이 다른 이유 (Key Point 3)
맞춤 고농도 약제: 보철과 전문의가 안전한 범위 내 최적의 농도를 선택합니다.
스케일링 선행: 미백 전 치석과 착색을 완벽히 제거해 미백 효과를 극대화합니다.
시림 방지 처방: 치아 보호제를 도포하고 개인별 민감도에 맞춰 시림 증상을 최소화합니다.
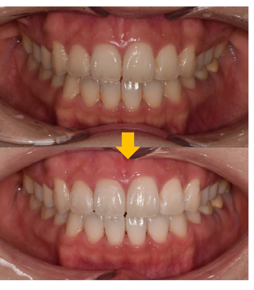
3. 미백 후, 얼마나 밝아질까요?
평균 변화: 따뜻한 붉은 기가 도는 A3 톤 → 맑고 깨끗한 B1/A1 톤으로 개선
임상 특징: 단순한 '하얀색'이 아닌, 얼굴 톤에 어울리는 자연스러운 투명감을 목표로 합니다.
4. 이런 분들께 추천합니다!
셀프 미백 제품을 써봤지만 효과를 거의 못 보신 분
결혼, 취업 면접 등 중요한 일정을 앞두고 빠른 변화가 필요한 분
치아가 얼룩덜룩하지 않고 균일하게 밝아지길 원하는 분
5. 자주 묻는 질문 (FAQ)
Q. 치료는 얼마나 걸리나요? 대부분 **1회 방문(약 1시간)**으로도 눈에 띄는 변화를 경험하실 수 있습니다.
Q. 효과는 얼마나 유지되나요? 관리 상태에 따라 다르지만, 정기적인 스케일링과 착색 음식(커피, 카레 등) 주의를 통해 오랫동안 유지 가능합니다.
[ 신당역 서울닥터한치과 예약 안내 ]
보철과 전문의의 세밀한 진단으로 실패 없는 미백을 약속드립니다.
위치: 신당역 3번 출구 바로 앞 (스타타워 B동 2층)
상담: 02-2235-2875
https://share.google/Dta1uUaHFJUJCS8Fv








댓글목록 0